南华医院TAVR技术助患者重获“心”生近日,南华大学附属南华医院心血管内科团队在副院长、心血管内科专业学科带头人马小峰教授的带领下,为一名63岁主动脉瓣重度狭窄患者成功实施经导管主动脉瓣置换(TAVR
南华医院TAVR技术助患者重获“心”生
近日,南华大学附属南华医院心血管内科团队在副院长、心血管内科专业学科带头人马小峰教授的带领下,为一名63岁主动脉瓣重度狭窄患者成功实施经导管主动脉瓣置换(TAVR)手术,患者术后恢复良好,特送三面锦旗致谢,这既是对心血管内科团队医疗技术与服务的高度认可,也是南华医院践行“我为群众办实事”的生动写照。

△TAVR术人工主动脉瓣膜
患者侯某近两个月频繁出现胸闷、心悸症状,近日甚至突然晕厥,被紧急送至南华医院。经检查,其主动脉瓣重度狭窄,瓣膜严重钙化,心脏泵血“通道”近乎堵塞,每次心跳仅能挤出少量血液供给全身,随时可能因心衰、猝死危及生命。此外,患者还患有冠心病、高血压3级(很高危组),这无疑让本就脆弱的心脏负担更重。
心血管内科李招兵主任牵头团队,结合患者身体耐受度与病情特点,反复研讨后决定采用经导管主动脉瓣置换术(TAVR)。该技术无需开胸,通过血管介入即可完成瓣膜置换,能最大程度降低手术创伤,快速改善心脏泵血功能,是治疗重度主动脉瓣狭窄的优选方案。

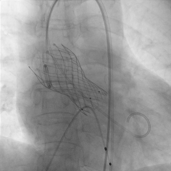
△TAVR术后影像
10月17日,在麻醉科、超声科等多学科团队的协同配合下,心血管内科手术团队精准操作,顺利为患者植入人工主动脉瓣。术后复查显示,瓣膜功能良好,心脏泵血能力显著提升,患者胸闷、心悸症状完全消失,活动能力恢复正常。

△患者及家属送来三面锦旗
为表达感激之情,患者及家属特意定制三面锦旗:一面赠予马小峰副院长及全体医护人员,题字“无影灯下续生命奇迹,手术刀尖写医者传奇”;一面赠予李招兵主任、魏读辉主治医师及团队,题字“德医双馨,妙手回春”;另一面赠予李招兵主任、谭剑凯主任及全体医护人员,题字“以病人为中心,以服务树信誉”。
这三面沉甸甸的锦旗,不仅承载着患者一家的感激,更是对医院医疗技术、服务质量和人文关怀全面发展的高度褒奖。未来,南华医院将继续秉持“人民至上、生命至上”理念,攻坚克难,为守护人民群众生命健康筑牢防线,为健康中国战略贡献力量。
桂函玉 谭剑凯 李招兵
上一篇:九九重阳叙深情 银龄重返暖校园
下一篇:聚焦前沿技术 共话乳甲诊疗新